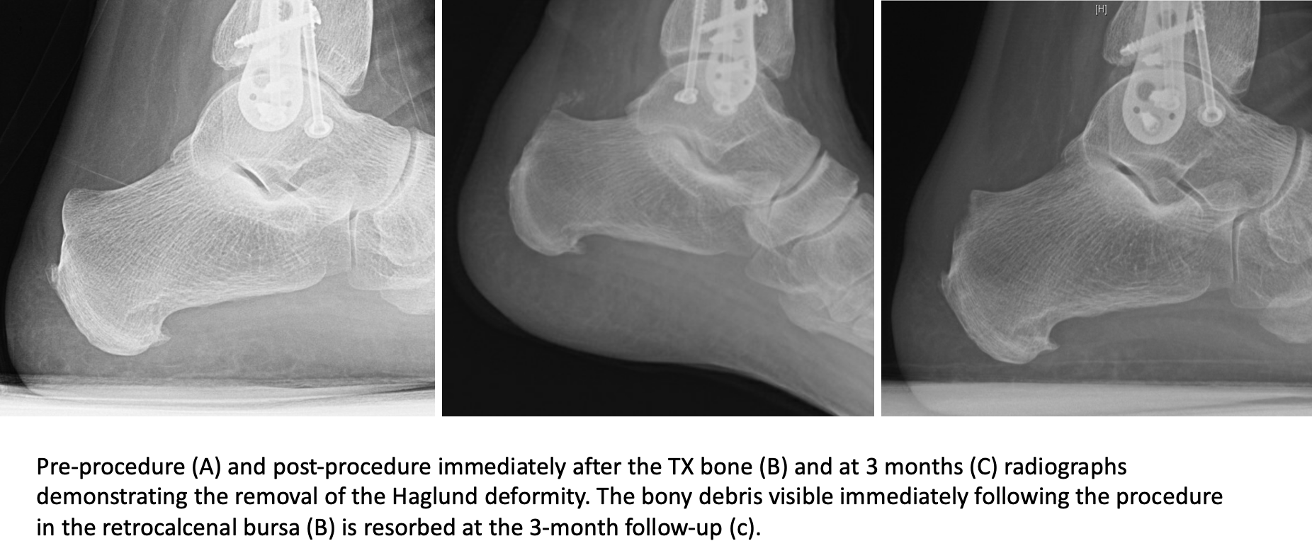
Haglund Deformity Radiology : Haglund Deformity Radiology Case Radiopaedia Org - Haglund's deformity is named after patrick haglund, who defined the condition in 1927.

Haglund Deformity Radiology : Haglund Deformity Radiology Case Radiopaedia Org - Haglund's deformity is named after patrick haglund, who defined the condition in 1927.. This condition is often precipitated by wearing shoes with rigid backs that rub against the heel. Does haglund's deformity go away? Haglund deformity, also known as a pump bump , bauer bump, or mulholland deformity, is defined as bony enlargement formed at the posterosuperior aspect of the calcaneum. Haglund's deformity is characterized as an enlarged prominence of the superior aspect of the posterior calcaneus, which can cause painful inflammation within the retrocalcaneal bursa and anterior surface of the achilles tendon as a result of mechanical irritation. Insertional achilles tendinopathy retrocalcaneal bursitis haglund deformity (i.e.

Interesting radiology cases from daily practice and a personal reference. This deformity leads to retrocalcaneal bursitis. It refers to the mechanical irritation between the posterior section of the calcaneus (heel bone) and the achilles tendon. The authors describe a new method of radiologic measurement of haglund's deformity, based on a radiologic study of 31 feet operated for posterior heel pain and more especially for calcaneal tendinopathies related to deformity of the calcaneus, and on a series of 60 asymptomatic feet. Operative management of haglund's deformity in the non athlete:

Boston Sports Haglund Deformity Heel Pain Achilles Tendon Pain
Boston Sports Haglund Deformity Heel Pain Achilles Tendon Pain from bostonsportsandbiologics.com
The authors describe a new method of radiologic measurement of haglund's deformity, based on a radiologic study of 31 feet operated for posterior heel pain and more especially for calcaneal tendinopathies related to deformity of the calcaneus, and on a series of 60 asymptomatic feet. As associated problems such as heel bursitis settle, the size of the lump should reduce, but the bony why is it called haglunds deformity? Radiographic evaluation of haglund's deformity. Haglund deformity is most common in young women who wear high heeled shoes or pumps. This deformity leads to retrocalcaneal bursitis. Haglund's deformity is named after patrick haglund, who defined the condition in 1927. Haglund's deformity can cause the development of bursitis, which is a painful condition in the heel. Haglund's syndrome is a group of signs and symptoms consisting of haglund's deformity (which is an exostosis of the posterior calcaneal tuberosity) in combination with retrocalcaneal bursitis.

Haglund deformity, also known as a pump bump , bauer bump, or mulholland deformity, is defined as bony enlargement formed at the posterosuperior aspect of the calcaneum.

Correct shoes that are supportive may prevent it. As associated problems such as heel bursitis settle, the size of the lump should reduce, but the bony why is it called haglunds deformity? Radiographic evaluation of haglund's deformity. The authors describe a new method of radiologic measurement of haglund's deformity, based on a radiologic study of 31 feet operated for posterior heel pain and more especially for calcaneal tendinopathies related to deformity of the calcaneus, and on a series of 60 asymptomatic feet. This deformity leads to retrocalcaneal bursitis. Haglund deformity, also known as a pump bump, bauer bump, or mulholland deformity, is defined as bony enlargement formed at the posterosuperior aspect of the calcaneum. Haglund's deformity is a bony enlargement at the level of the posterior part of the heel. The primary symptom of haglund's deformity is pain at the back of the heel. Haglund's deformity is named after patrick haglund, who defined the condition in 1927. There is a noticeable swelling on the back of heel also called bump. This includes home remedies and. Haglund's deformity is a bony enlargement on the back of the heel. Haglund's syndrome is a group of signs and symptoms consisting of haglund's deformity (which is an exostosis of the posterior calcaneal tuberosity) in combination with retrocalcaneal bursitis.

Does haglund's deformity go away? Other names for haglund's deformity include bauer bump, pump bump, or mulholland deformity, though it's most commonly known as haglund's heel. Haglund's deformity is characterized as an enlarged prominence of the superior aspect of the posterior calcaneus, which can cause painful inflammation within the retrocalcaneal bursa and anterior surface of the achilles tendon as a result of mechanical irritation. When this bony enlargement rubs against the achilles tendon and overlying bursa, inflammation of the retrocalcaneal bursa occurs. The soft tissues present at the back of your heel become irritated due to the rubbing of the extra bony growth.

Retrocalcaneal Bursa Radiology
Retrocalcaneal Bursa Radiology from els-jbs-prod-cdn.jbs.elsevierhealth.com
It refers to the mechanical irritation between the posterior section of the calcaneus (heel bone) and the achilles tendon. It thus proves markedly superior to previously described radiologic formulations, since it allows not only for the size and site of the deformity of the @article{chauveaux2005anr, title={a new radiologic measurement for the diagnosis of haglund's deformity}, author={d. It affects the bone and the soft tissues. It is a small, often pointy haglund's deformity can cause pain at the back of the heel increasing during strain. Haglund deformity radiology reference article. Haglund's deformity is where bone grows on the heel bone (calcaneus). Halgund's deformity is a condition in which a bony enlargement is formed in the heel. Insertional achilles tendinopathy retrocalcaneal bursitis haglund deformity (i.e.

Radiographic evaluation of haglund's deformity.

Haglund deformity, also known as a pump bump , bauer bump, or mulholland deformity, is defined as bony enlargement formed at the posterosuperior aspect of the calcaneum. You may see reddening and swellings at the heel, which may be very. However, often patients will present with a combination of achilles tendinopathy, retrocalcaneal bursitis or retrocalcaneal exostosis in addition to a haglund's deformity. The authors describe a new method of radiologic measurement of haglund's deformity, based on a radiologic study of 31 feet operated for posterior heel pain and more especially for calcaneal tendinopathies related to deformity of the calcaneus, and on a series of 60 asymptomatic feet. Haglund deformity, also known as a pump bump, bauer bump, or mulholland deformity, is defined as bony enlargement formed at the posterosuperior aspect of the calcaneum. Haglund's deformity also goes by the name of haglund's disease and pump bump. It affects the bone and the soft tissues. Haglund's deformity is an abnormal bump in the heel bone. Halgund's deformity is a condition in which a bony enlargement is formed in the heel. Operative management of haglund's deformity in the non athlete: Haglund's deformity is a bony enlargement at the level of the posterior part of the heel. Correct shoes that are supportive may prevent it. An example is haglund's deformity, a condition caused by a bump on the back of the heel.

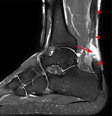
The presence of a haglund's deformity narrows this space considerbly thereby casuing or exacerbating problems such as retrocalcaneal bursitis. When this bony enlargement rubs against the achilles tendon and overlying bursa, inflammation of the retrocalcaneal bursa occurs. Does haglund's deformity go away? Haglund's deformity, also called pump bump, winter heel, mulholland deformity, or retrocalcaneal exostosis, is a bony enlargement of the posterosuperior heel bone, called the calcaneus, at the insertion site of the haglund syndrome: The soft tissue near the achilles tendon becomes irritated when the bony enlargement rubs against shoes.

Haglund Deformity Radiology Case Radiopaedia Org
Haglund Deformity Radiology Case Radiopaedia Org from prod-images-static.radiopaedia.org
Haglund's deformity was described for the first time in 1928. 1 an isolated haglund's deformity can lead to posterior heel pain in runners due to adjacent soft tissue impingement by the heel counter. Correct shoes that are supportive may prevent it. Related online courses on physioplus. This includes home remedies and. Haglund's deformity is characterized as an enlarged prominence of the superior aspect of the posterior calcaneus, which can cause painful inflammation within the retrocalcaneal bursa and anterior surface of the achilles tendon as a result of mechanical irritation. Haglund's deformity is also called haglund's disease and named after the swedish orthopedist patrick haglund. This deformity leads to retrocalcaneal bursitis.

As associated problems such as heel bursitis settle, the size of the lump should reduce, but the bony why is it called haglunds deformity?

Radiographic evaluation of haglund's deformity. The soft tissue near the achilles tendon becomes irritated when the bony enlargement rubs against shoes. Pump bump is named after patrick haglund, a swedish orthopedic surgeon, who first described the condition back in 1927. 1 an isolated haglund's deformity can lead to posterior heel pain in runners due to adjacent soft tissue impingement by the heel counter. Related online courses on physioplus. When this bony enlargement rubs against the achilles tendon and overlying bursa, inflammation of the retrocalcaneal bursa occurs. Haglund's deformity is where bone grows on the heel bone (calcaneus). Haglund's deformity is named after patrick haglund, who defined the condition in 1927. Haglund's deformity can cause the development of bursitis, which is a painful condition in the heel. However, often patients will present with a combination of achilles tendinopathy, retrocalcaneal bursitis or retrocalcaneal exostosis in addition to a haglund's deformity. Posterosuperior calcaneal exostosis) terminology haglund syndrome is a painful the haglund syndrome: As associated problems such as heel bursitis settle, the size of the lump should reduce, but the bony why is it called haglunds deformity? Haglund's deformity was described for the first time in 1928.

Over time the tissues also usually thicken over the bone bump, causing a callus to form hagl. A a pistol grip deformity on the anteroposterior.

Posting Komentar

Lebih baru Lebih lama

Facebook